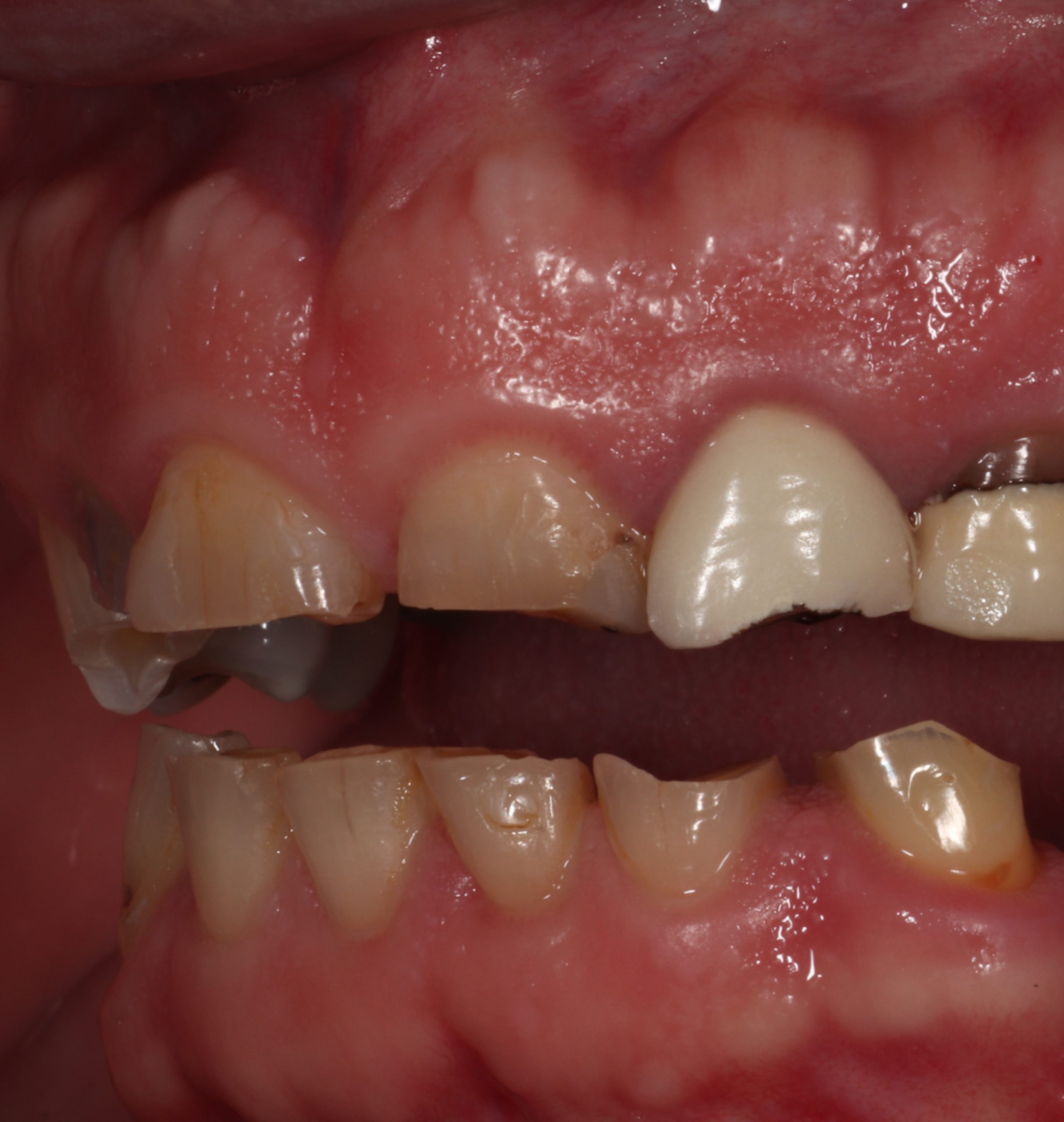
Toothwear
Toothwear is the gradual loss of the hard surface of your teeth (enamel and dentine). Unlike tooth decay, it’s not caused by bacteria, but by physical or chemical processes. Over time, it can make teeth look shorter, flatter, or more yellow, and may cause sensitivity or discomfort.
Treatment options:
Treatment depends on how severe the wear is. Mild cases can often be managed by changing habits and protecting remaining enamel. In more advanced cases, we may rebuild worn teeth with bonding, veneers, or crowns to restore appearance and function.
Types of tooth wear
Erosion
Caused by acids from food, drinks (like fizzy drinks, citrus fruit, or wine), or stomach acid (from reflux or vomiting).
Attrition
Caused by tooth-to-tooth contact, such as grinding or clenching (bruxism).
Abrasion
Caused by external forces, such as aggressive toothbrushing, biting pens, or using teeth to open things.
How to prevent toothwear
Avoid frequent acidic food and drinks, and rinse with water afterward. Use a soft toothbrush and gentle brushing technique. Wear a mouthguard at night if you grind your teeth. Maintain regular dental check-ups to spot early signs.
